Implantat

En säker lösning för att ersätta saknade tänder och bevara ditt leende.

Senast uppdaterad: 2022-05-16

En tandimplantat är en konstgjord tandrot som placeras i käken för att ersätta en förlorad tand. Den fungerar som en stabil grund för en krona, bro eller protes, och återställer både funktion och utseende.

Vad är en tandimplantat?

En tandimplantat är en liten titanskruv som fungerar som en konstgjord tandrot. Den placeras i käkbenet och integreras med benet genom en process som kallas osseointegration. Implantatet fungerar som en stabil grund för en ny tand eller protes.

 

Varför behöver man tandimplantat?

Tandimplantat används för att ersätta förlorade tänder och kan förbättra både tuggfunktion och estetik. De hjälper också till att bevara käkbenet och förhindra att intilliggande tänder förskjuts.

 

Hur går behandlingen till?

1. Undersökning och planering: Tandläkaren gör en noggrann kontroll och röntgen för att bedöma käkbenet och planera implantatet.
2. Ingrepp: Implantatet opereras in i käkbenet under lokalbedövning.
3. Läkning: Implantatet får växa ihop med benet under några månader.
4. Återställning: En krona, bro eller protes sätts på implantatet för att återställa tänder och funktion.

 

Fördelar med tandimplantat

• Stabil och långvarig lösning för förlorade tänder.
• Naturligt utseende och känsla.
• Bevarar käkben och ansiktsstruktur.
• Förbättrar tal och tuggningsfunktion.
• Minskar risk för förskjutning av intilliggande tänder.

 

Vem kan få tandimplantat?

De flesta vuxna med tillräckligt käkben och god munhälsa kan få tandimplantat. Din tandläkare gör en individuell bedömning och planerar behandlingen efter dina behov.

 

 

 

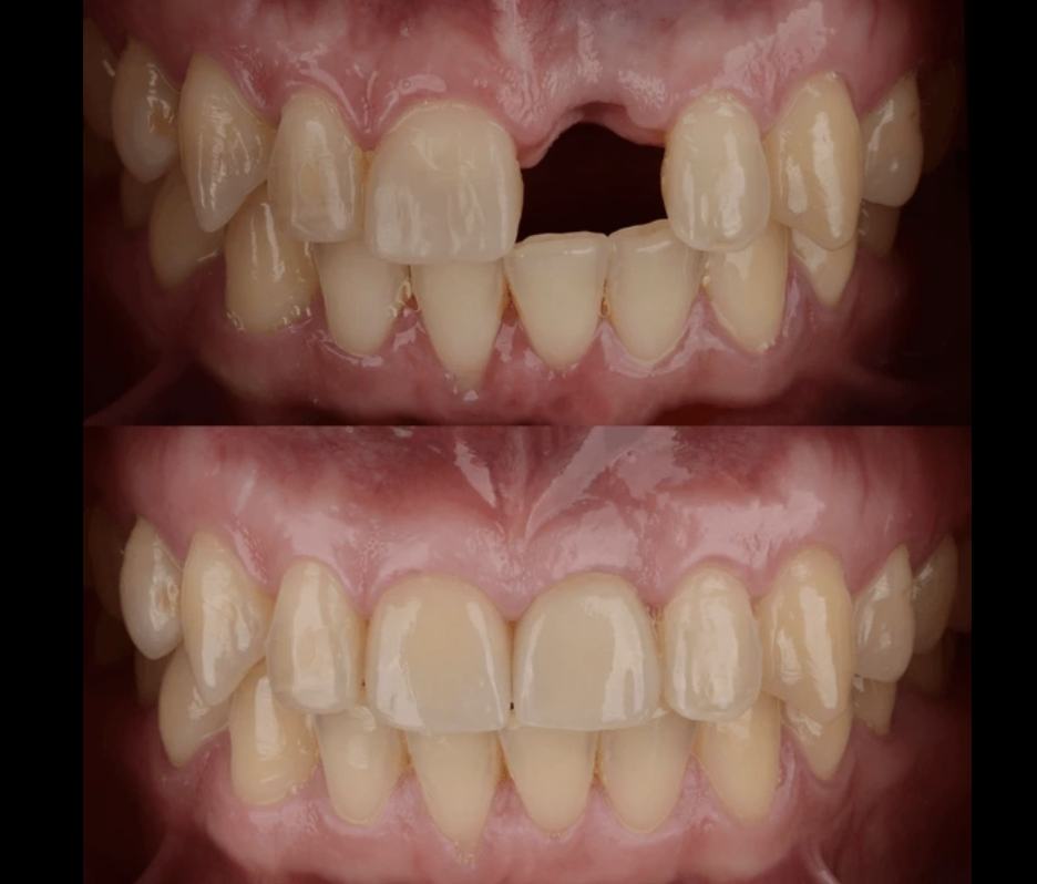
Före & Efter

 

 

Hur bokar jag tid?

Om du är intresserad av att boka tid så är du varmt välkommen att ringa till oss på 042 216 850 eller boka online här och hitta en passande tid. Du hittar vår tandklinik på Drottninggatan 20-22, mitt i centrala Helsingborg.

Fler behandlingar

Rotfyllning Skalfasader Akuttid